This is Brittany Maynard.
She is 29 years old.
And she has only 24 days left to live.
On November 1st, Brittany plans to die.
She says:
“I will die upstairs in my bedroom. I will pass peacefully with some music that I like in the background.”
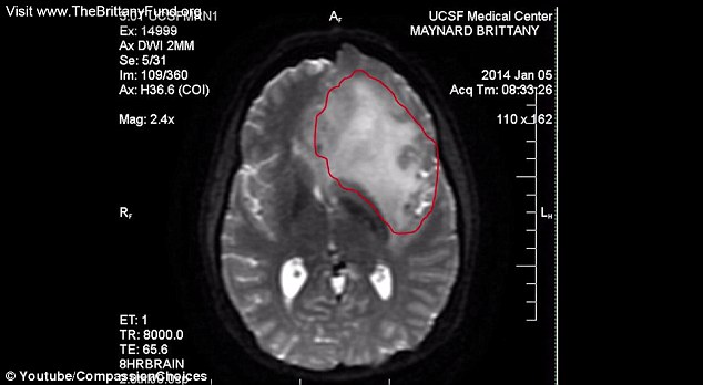
Brittany is suffering from stage 4 Brain Cancer.
She was married late last year. Shortly after that she started having headaches.
In January, doctors told her she had stage 2 Brain Cancer. They gave her 3-10 years to live.
But then in April, the news got even worse. Her cancer was now stage 4. (The worst it can get)
Doctors told her she now only had 6 months to live.
“I wish there was a cure for my disease, but there’s not.”

Brittany was living in the Bay Area. But after learning she was going to die soon, she and her family moved to Portland, Oregon.
The reason: Oregon has a “Death with Dignity” law.
That means Brittany can choose when to end her life, instead of suffering.
Brittany says:
“I can’t even tell you the relief that provides me. There is not a cell in my body that is suicidal or that wants to die. (But) my Glioblastoma is going to kill me and it’s a terrible, terrible way to die. Being able to choose to go with dignity is less terrifying.”
So Brittany has picked November 1st to die:
“I really wanted to celebrate my husband’s birthday, which is October 30. I’m getting sicker, dealing with more pain and seizures and difficulties so I just selected it.”
She will use medication prescribed by her doctor.
“I plan to be surrounded by my immediate family, my mother, my step-father, my husband, and my best friend.”

During her last days, Brittany has been traveling.
She loves the outdoors.
She’s gone to Yellowstone Park and Alaska.
She hopes to make it to the Grand Canyon, but time is running out.
She also has made a deal with her mother, Debbie, that if she travels to Machu Pichu in Peru after her passing, Brittany’s spirit will meet her up there among the breathtaking Inca ruins.
Brittany has made a video about her life and impending death.
It’s six minutes long.
I watched it twice.
I broke down both times.
It’s heartbreaking.
But at the same time there is something so inspiring about her.
She’s very matter of fact and very direct.
At the end of the video, Brittany has a message for everyone:
“Make sure you’re not missing out.
Seize the day.
What do you care about?
What matters?
Pursue that.
Forget the rest.”
I’m going to write that down and put it on my desk at work.
I want to see her words every day.
And for the sake of this post, I will assume that if you want to hit “like” it means you have Brittany in your thoughts.
Some quotes courtesy People Magazine via Frank Somerville (Evening Anchor at KTVU)
Do you support assisted dying? Leave a comment…
share using the buttons below


Reblogged this on MrMilitantNegro™.
LikeLike
Reblogged this on Take My Word For It, It's Just My Opinion. and commented:
Crazy Story!!
LikeLike
God bless her and her family for standing beside her and respecting her choice. May she find peace and freedom from her painful struggle.
LikeLiked by 1 person
Reblogged this on It Is What It Is and commented:
There’s no cure ….. dying with dignity, in her own terms. Be blessed!
LikeLiked by 1 person
I f*#king despise cancer! It took my mom 3 months ago! I saw her suffering and it ripped my insides out! If she wants to end it on her terms, it’s her choice alone.
LikeLike
Tough stuff made both sad and beautiful. Thank you. And right now I have no opinion. Should I ever be in the same position – ask me then.
LikeLike
She will be in my prayers as will her family. Thank you for sharing this!! I am for the freedom of choice!
LikeLiked by 1 person
Everyone deserves dignity, especially when they die. ❤
LikeLiked by 1 person
I just wish that she could really make the best of her days left. It must be hard on her family, but also sort of comforting that she will not be in pain anymore. God bless her soul, she is a reminder of how precious life is.
LikeLiked by 1 person
It’s her choice, as it should be for everyone in these kinds of circumstances. Blessings to her and her loved ones.
LikeLiked by 1 person
What an amazing woman. She is not falling apart but shines like the sun and comforts and encourages others. Her death mustn’t be in vain and therefore we should not wait until our time is running out with all of the insights she shares. Thank you!
LikeLike
How so very devastating. What a strong young girl. My heart goes out to her and her family.
LikeLiked by 1 person
I saw this on the news this morning. I applaud her decision and support her choice on how she wishes to go. Others may choose differently, but it is not their life, it is hers. BTG
LikeLiked by 1 person
wow
speechless
LikeLiked by 1 person
http://locolivia.wordpress.com/2014/10/09/doing-my-bit/
read it. watch it. live it.
LikeLiked by 1 person
Thank you.
Mike.
LikeLike
I thought this was a good response: http://www.aholyexperience.com/2014/10/dear-brittany-why-we-dont-have-to-be-so-afraid-of-dying-suffering-that-we-choose-suicide/
LikeLiked by 1 person
Thank you, that’s an incredible piece.
Much appreciated, Mike.
LikeLike
Many responses speak of “dying with dignity”. Although I understand this sentiment, one should realize that dignity is innate in the Image of God placed lovingly within and there is nothing, not even this horrific cancer, that could steal it from her. God Bless you Brittany.
LikeLiked by 1 person
I don’t usually condone suicide, but as with all things in life, there are exceptions, and this is one of them. My father had a similar situation, but wound up doing the deed by himself. Whether it was because of the rapidity of his pending demise (literally, a matter of a few days) or not believing anyone would honor his decision.
I can’t say if I could do it myself. I’m not in that situation. The calculus changes with your stage in life, I imagine.
LikeLiked by 1 person
Thank you for Sharing, Carlos.
Peace to you, Mike.
LikeLike
I am wondering if Brittany or her family has ever heard of, or researched Stanislaus Burzynski in Texas? He uses anonplastons and has been the only dr. who has had success treating her particular disease, not only treating but reversing in some cases. It would be worth looking into. God Bless.
LikeLike
The cancer society and the food and drug administration is probably in the way as usual!
LikeLike
i believe that , only our God up above, who created her, has the right to end her life on earth. I do agree that she is suffering and can understand what she is going through,and it is easy for me to say this, but still, God is in control and will take care of Brittany. She has no right to end her life on earth. i would pray for her and ask God to help her and guide her according to his will in her life.
LikeLike
She can choose when she dies and she has. Lucky for her she is in a place that allows this to be done with dignity. It is not for us to judge.
LikeLiked by 1 person
God is the only truth. If she wants to understand something about herself, before ending life, can drink a few times this sacred drink of Brazil, Aiawasca. God will guide her safely. to follow with light, peace and love. UDV here, in USA
LikeLike
I don’t know what to say to this. I absolutely understand her decision and I don’t judge it in the least. But somehow, it doesn’t bring me peace. I wish it did. I am glad it brings her peace, however, and that’s all that matters. Thanks for posting – an important topic to ponder. And thanks for following me on Cold.
LikeLiked by 1 person
Thanks, Victoria!
In the same way as yourself, this piece leaves me with no peace, questions and a degree of anxiety also.
Food for thought.
Hoping you are well and life is being kind to you and yours.
Best, Mike.
LikeLike
RIP Brittany! You are and were a gorgeous, intelligent young woman, and I cant even imagine the difficult choice you came to, as I have not walked in your shoes. I know your wish was to continue life on earth, but unfortunately cancer changed that, and I think you and your family are so brave for deciding how and when you would die on your terms! God bless! Jill molzen-biegler
LikeLiked by 1 person
Thank you for sharing . God Bless you Brittany . it was your choice , your life . Yes you have a right to decide for yourself . God Bless and May your soul rest in peace .
LikeLiked by 1 person
Reblogged this on writing for self-discovery and commented:
There’s no better reason than life’s uncertainty to live it to the fullest every moment of every day. This is a heart-wrenching story about a courageous woman with a message that mirrors that thought.
LikeLike
I am a cancer survivor,by luck,or God’s will.I come from a Province in Canada,that doesn’t give you a choice,of dying with dignity,& I most certainly couldn’t have afforded to go to some place in the world that did.I played a lot of sports,& learned to live with a lot of pain,but if I was going to go through the pain,that I experienced throughout my bowel cancer,i would have been given a drug to keep my comfortable,until I was in a coma,befor I passed.If you are given the news,that you are forth stage,with no chance to live past a given time,you as a sane person should be given the right to die on your terms,not others.Brittany’s story gave me the power to write this.I admired her strength of conviction,& her families understanding.Long before my painful operation,i had always believed that having a choice for incurable illnesses.should give you that choice.I want to die with dignity.Both my parents died wearing diapers,& being unable to do anything for themselves,& we the children suffered terribly.My heart broke for these two very proud people,who raised me.Amen
LikeLiked by 1 person
Thank you for sharing your thoughts and experiences, Ivan. Much appreciated.
Best, Mike.
LikeLiked by 1 person
I am for the rite to choose when to terminate your suffering in the event of a terminal illness, because not only it is hard to see yourself “decaying” but even harder to see your loved ones seeing you suffering !
I admire people particular as young as Brittany who have the amazing courage to make such choice !!
But unfortunately I’m not in a country that doesn’t support those rites nor am I in a financial position to move in a country that does, so if I where to be diagnosed with a stage 3/4 cancer I will definitely decline treatments such as chemotherapy and what I’ll be likely to do is called suicide !!
Any suggestions ?
LikeLike
No suggestions, Enza. However, perhaps, if such a situation arises, you could speak firstly with your doctor and friends and family.
A very tough situation.
Kind regards, Mike.
LikeLike
I totally support it for people with terminal illnesses. In some places I’ve heard it can be used for depression,.and I am NOT in favor of that. But my Aunt died of a glioblastoma. Not a happy way to die.
LikeLike